皇冠信用网在线注册_河南一老人做冠脉造影手术时一截导丝断在血管中!院方回应
世界杯皇冠信用网平台(www.hg0088.us)为您提供最新登1登2登3代理网址,包括新2登1登2登3代理手机网址,新2登1登2登3代理备用网址,皇冠登1登2登3代理最新网址,近日,来自河南汝州的高女士反映称,她的父亲在河南省胸科医院做冠脉造影手术时,手术所用导丝末端断裂,一截导丝被遗留在血管中皇冠信用网在线注册。“父亲原本就有血栓,担心随着父亲年龄增长,病情会加剧。”
9月30日,涉事医院医患办公室工作人员告诉南都N视频记者,术后院方组织了相关科室会诊,判断回旋支指引导丝远段断裂,与患者回旋支弥漫性动脉硬化重度狭窄病变及钙化有关皇冠信用网在线注册。如果患者需要做医疗事故鉴定,院方将全力配合。目前仍在与该病人家属进行协商。

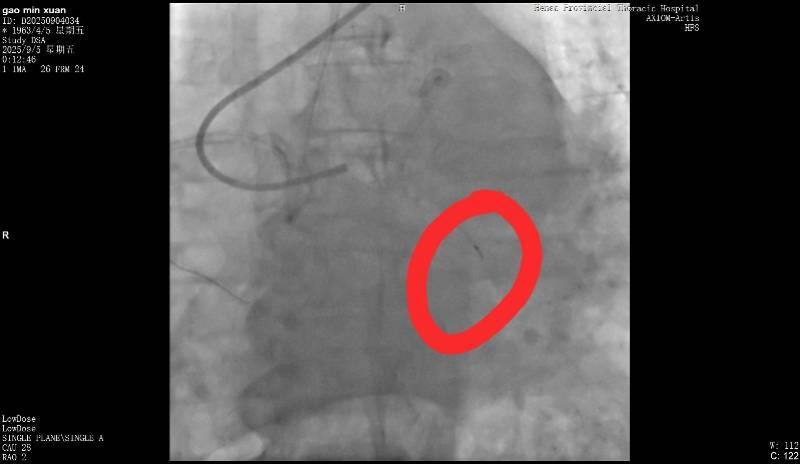
断裂的导丝皇冠信用网在线注册。受访者供图
病人家属:担心遗留导丝会加剧病情
高女士向南都记者介绍,其父亲今年62岁,去年因冠心病在河南省胸科医院做过支架植入手术皇冠信用网在线注册。今年9月2日,因感到胸闷,其父亲再次到该医院复查。
9月5日,高女士父亲在该医院做冠脉造影,手术进行了近3个小时皇冠信用网在线注册。高女士回忆说,手术结束后,负责手术的医生告诉她,“在微创探查体内的时候,一截导丝断裂。”当高女士询问能否再次实施手术取出时,医生表示因病患年纪较大,开胸手术存在危险,并没有取出的必要。但对于遗留导丝会否在后续造成长期影响,该医生则称“无法确定”。
高女士提供的病程记录显示,“手术操作过程中出现回撤导丝困难,送入微导管尝试至坎顿处未成功,退出微导管时远段导丝断裂,多途径尝试取出断裂导丝均未能成功皇冠信用网在线注册。”资料还指出,“通过复查造影,回旋支近段残余狭窄小于30%,未见明显夹层、无复流。”
南都记者留意到,该病程记录给出了心血管外科一病区会诊意见,称“回旋支内见离断的介入导丝,外科取出导丝意义不大,建议内科治疗”皇冠信用网在线注册。
高女士认为,父亲原本就有血栓,按照医院的说法,他的血管狭窄、钙化严重,其担心随着父亲年龄增长,情况会加剧皇冠信用网在线注册。她表示,目前有两个诉求,一是希望医院能给予一定金额的赔偿;二是由医院对接能做开胸手术的医院,必要情况下协助垫付一定费用。
涉事院方:可配合做相关医疗鉴定
9月30日,南都记者联系涉事医院医患办咨询,接线人员表示,目前已了解高女士的诉求,正积极与高女士进行协商皇冠信用网在线注册。
该名接线人员表示,该患者入院后,诊断冠心病、急性冠脉综合征,手术指征明确皇冠信用网在线注册。“术前已与患者及家属沟通病情,告知其冠脉造影及冠脉支架植入术的必要性及相关风险。”
这一说法可以在高女士提供的病程记录中得到印证皇冠信用网在线注册。相关记录显示,9月4日,手术医师进行查房,随后与患者及家属沟通病情,告知其冠脉造影及冠脉支架植入术的必要性及相关风险,其中提及,术后可能出现支架再狭窄或支架内血栓形成,可造成相关脏器急性缺血坏死或功能障碍,危及生命,以及导丝、导管、鞘管等术中所用材料断裂、打折等,必要时需要外科手术治疗。
该医患办工作人员向南都记者解释称,术后院方组织了相关科室会诊,判断回旋支指引导丝远段断裂,与患者回旋支弥漫性动脉硬化重度狭窄病变及钙化有关皇冠信用网在线注册。“如果患者需要做医疗事故鉴定,院方将全力配合。如果对方经济困难,医院愿意垫付费用做鉴定。”其还表示,医院将根据第三方相关鉴定,承担院方该承担的责任。
南都记者了解到,当前高女士向医院提出30万的索赔,院方认为索赔数目太高,建议走司法程序进行司法鉴定,以此明确医院的过错及比例,如果家属对血管里的导丝感到担心,医院可先补偿8000元皇冠信用网在线注册。
高女士表示,当前她已将诉求反映至省卫健委有关部门,正在进一步等候处理中皇冠信用网在线注册。
采写:南都N视频记者 林诗妍
猜你喜欢
- 15小时前皇冠会员如何申请 _市委常委、新乡军分区司令员王金龙到卫滨区调研
- 17小时前皇冠信用盘哪里申请 _世界杯附加赛对阵出炉:意大利抽中北爱尔兰,英国四队无缘齐聚世界杯
- 1天前足球盘口出租 _日本正式宣布,拒绝道歉并加速备战!结防科四大战区发声,高市准备好了吗
- 1天前怎么弄皇冠信用網 _中美情况有变!贝森特发出“最后通牒”,话音刚落,中国的一则公告让他认清现实,信号特殊
- 2天前皇冠信用盘登1,登2,登3出租 _12年后,陈梦又一次帮山东拿到全运会乒乓球女团金牌
- 2天前如何注册皇冠足球代理 _又是0.12秒决胜负!莫家蝶不敌刘英兰获女子400米亚军
- 3天前信用网皇冠申请注册 _七台河市委副书记王献宇履新黑龙江省体育局局长
- 3天前信用网皇冠申请注册 _多只热门个股暴跌!A股连续第三日下挫,调整结束了吗?
- 3天前皇冠信用盘代理申条件 _推进新时代徽州文化建设
- 3天前皇冠信用網登1,登2,登3出租 _果然不可信!特朗普突然变脸,话题转向红线问题,打出最敏感的一张牌
- 3天前皇冠信用網登1,登2,登3出租 _恰尔汗奥卢的转会风波:加拉塔萨雷冬窗新报价的背后故事
- 3天前皇冠信用盘会员账号 _安徽铜陵市委常委、宣传部长潘荣华履新皖西学院党委书记
- 3天前已晋级2026世界杯队伍 _杭州女子“压箱底”的积蓄竟变练功券,警方:前男友干的!
- 3天前2026世界杯比赛 _世预赛-萨内双响维尔茨两助 德国6-0斯洛伐克直通世界杯
- 4天前皇冠信用网最新地址 _太嚣张了!贝森特称11月底前与中方签稀土协议,威胁再变卦要报复
- 4天前皇冠信用登2代理 _咸阳市委副书记、党校校长贾珉亮出任咸阳市代市长
- 4天前皇冠信用盘可以占几成 _熊猫杯|U22国足末轮战 乌兹别克斯坦排兵布阵有讲究
- 4天前如何申请皇冠信用網 _日本通告全球,不会收回涉台言论,中方划下落弹区,禁航72小时!
- 5天前皇冠信用登3代理 _十五运|决赛再次不敌王曼昱,孙颖莎给自己的全运会单打表现打90分
- 5天前皇冠信用网代理 _陕西省应急管理厅厅长郭柱国履新延安市政府党组书记
- 5天前皇冠信用网代理出租 _毛宁连发4张海报
- 6天前如何申请皇冠信用盘会员 _出人意料!德前外长称:若默克尔没有卸任,将能阻止俄乌冲突发生?民调显示德国人开始怀念默克尔
- 6天前皇冠信用網登123出租 _女生逛街偶遇帅哥后大胆要微信 被拒绝后发现是宋威龙
- 6天前皇冠信用网足球代理 _U22国足vs韩国首发:汪士钦、刘浩帆先发,刘诚宇、蒯纪闻替补


网友评论